Bats confirmed as SARS origin
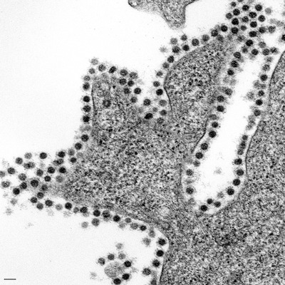
A team of international scientists has isolated a very close relative of the Severe Acute Respiratory Syndrome coronavirus (SARS-CoV) from horseshoe bats in China, confirming them as the origin of the virus responsible for the 2002-2003 pandemic.
The SARS-CoV pandemic killed 774 people of the 8094 people infected, a case fatality ratio of almost 10%. With cases diagnosed across the world, the pandemic had an impact on international travel and trade.
The research team, led by Professor Shi Zhengli from Wuhan Institute of Virology, Chinese Academy of Sciences and including CSIRO and Duke-NUS scientist Professor Linfa Wang, has just had its breakthrough results published in the journal Nature.

While researchers globally have previously used genetic sequencing to demonstrate that bats are the natural reservoirs of SARS-like CoVs, this is the first time that a live virus has been successfully isolated from bats to definitively confirm them as the origin of the virus.
The team successfully isolated a SARS-like CoV, named SL-CoV WIV1, directly from faecal samples of Chinese Horseshoe bats using the bat virus isolation methodology developed by scientists at CSIRO’s Australian Animal Health Laboratory in Geelong.
The results will help governments design more effective prevention strategies for SARS and similar epidemics.
Horseshoe bats are found around the world, including Australia, and play an important ecological role. Their role in SARS-CoV transmission highlights the importance of protecting the bat’s natural environment so they are not forced into highly populated urban areas in search of food.
Worker's death leads to first-of-its-kind Commonwealth psychosocial risks penalty
In the first penalty of its kind for a Commonwealth employer, the Department of Defence has been...
Amendments to the model WHS Act and Regulations published
Following approval by work health and safety (WHS) ministers, Safe Work Australia has published...
Victoria's new psychological injury obligations now in effect
New obligations have come into effect for workplaces across Victoria to protect employees from...
